根管治療(こんかんちりょう)」という言葉を聞いたことはあるでしょうか。歯医者さんで「神経を取りましょう」と言われた経験がある方もいらっしゃるかもしれません。根管治療は、むし歯が進行して歯の神経にまで達してしまった場合に、歯を抜かずに残すために行う大切な治療です。
しかし、「どんな治療をするの?」「痛くないの?」「何回も通わないといけないの?」と不安に思われる方も多いのではないでしょうか。
この記事では、根管治療について、治療の目的や流れ、痛みへの対処、通院回数まで、幅広い方にわかりやすくお伝えします。根管治療を受ける予定のある方、あるいは歯の痛みが気になっている方の参考になれば幸いです。
1. 根管治療とは?
根管治療とは、歯の内部にある「歯髄(しずい)」と呼ばれる組織(いわゆる歯の神経)が炎症や感染を起こした場合に、その組織を取り除き、根管(歯の根の中にある細い管)を清掃・消毒して、薬剤で密封する治療です。
歯は外側からエナメル質、象牙質、そして中心部の歯髄という層構造になっています。むし歯が浅い段階ではエナメル質や象牙質の治療で済みますが、むし歯が深く進行して歯髄にまで細菌が到達すると、強い痛みや腫れが生じます。この状態を放置すると、感染が歯の根の先端から骨の中にまで広がり、膿がたまることもあります。
根管治療の目的は、感染した歯髄を除去し、根管内を徹底的に清掃・消毒することで、歯を抜かずに保存することです。適切に行われた根管治療によって、多くの歯を長期間にわたって使い続けることが可能になります。

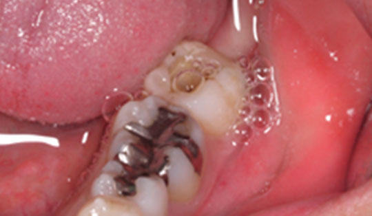
図1:以前、歯に被せたものの隙間から細菌が侵入し、根の部分で炎症が再発してしまった場合

図2:虫歯を放置し、歯の神経まで侵食してしまった場合
2. どんなときに根管治療が必要になるの?
根管治療が必要になる主なケースをご紹介します。
もっとも多いのは、むし歯が深く進行して歯髄に達した場合です。冷たいものや温かいものがしみるだけでなく、何もしていなくてもズキズキと強い痛みが続くようになったら、歯髄にまで炎症が及んでいる可能性があります。
次に、過去に治療した歯の根の先に膿がたまった場合です。以前に根管治療を受けた歯でも、時間の経過とともに再び細菌感染が起こることがあります。これを「根尖性歯周炎(こんせんせいししゅうえん)」と呼び、再治療(感染根管治療)が必要になります。
また、外傷によって歯が折れたり、強い衝撃を受けたりした場合にも、歯髄がダメージを受けて根管治療が必要になることがあります。
さらに、歯にヒビ(クラック)が入り、そこから細菌が歯髄に侵入するケースもあります。歯ぎしりや食いしばりの習慣がある方は、こうしたリスクが高まることがあります。
3. 根管治療の流れ
根管治療は通常、複数回の通院にわたって段階的に進められます。ここでは一般的な治療の流れをご紹介します。
3-1. 診査・診断
まず、レントゲン撮影や各種検査を行い、歯の状態を詳しく確認します。痛みの原因が歯髄の炎症なのか、根の先の感染なのか、あるいは他の原因なのかを正確に診断することが、適切な治療の出発点になります。
3-2. 麻酔・隔離
治療に入る際は、局所麻酔をしっかりと効かせてから行いますので、治療中の痛みはほとんど感じません。また、治療する歯の周囲にラバーダム(ゴムのシート)を装着して、唾液や細菌が治療部位に入り込むのを防ぎます。
ラバーダムの使用は、根管治療の成功率を高めるうえで非常に重要です。唾液中には多くの細菌が含まれているため、治療中に根管内が汚染されると再感染のリスクが高まります。

唾液などが歯に入りそうな状態

ラバーダムをつけている状態
3-3. 歯髄の除去・根管の清掃
歯の上部に穴を開けて歯髄にアクセスし、感染した歯髄組織を専用の器具で丁寧に取り除きます。根管は非常に細く、曲がっていることもあるため、繊細な操作が求められます。
近年では、ニッケルチタン製のファイル(根管内を清掃する器具)や歯科用マイクロスコープ(手術用顕微鏡)を使用することで、肉眼では見えない細部まで確認しながら精密な治療を行えるようになっています。
清掃後は、専用の薬液で根管内を洗浄・消毒し、細菌をできる限り除去します。
3-4. 根管充填
根管内が十分に清掃・消毒されたことを確認したら、根管内に薬剤を詰めて密封します。これを「根管充填(こんかんじゅうてん)」と呼びます。
根管充填に使用される材料としては、ガッタパーチャ(天然ゴムの一種)とシーラー(接着性のセメント)の組み合わせが一般的です。近年では、バイオセラミック系のシーラーなど、より封鎖性の高い材料も使用されるようになっています。
根管をしっかりと密封することで、細菌の再侵入を防ぎ、治療後の長期的な安定を図ります。
3-5. 支台築造・かぶせ物の装着
根管治療が完了した歯は、歯髄を失ったことで栄養供給が断たれ、もろくなりやすい傾向があります。そのため、治療後は「支台築造(コア)」を行って歯を補強し、その上にかぶせ物(クラウン)を装着するのが一般的です。
かぶせ物をしっかりと装着することで、根管治療をした歯を長期間にわたって機能させることができます。かぶせ物の種類(セラミック、金属、ジルコニアなど)については、見た目やかみ合わせの状態などを考慮して選択します。
4. 痛みについて
根管治療に対して「痛そう」というイメージをお持ちの方は多いかもしれません。実際のところ、現代の根管治療では痛みへの配慮が大きく進歩しています。
治療中は局所麻酔をしっかりと効かせて行いますので、ほとんどの方は痛みを感じることなく治療を受けられます。炎症が強い場合は麻酔が効きにくいこともありますが、その場合は追加の麻酔や、炎症を鎮めてから改めて治療を行うなどの対応が可能です。
治療後は、麻酔が切れた後に軽い痛みや違和感を感じることがあります。これは治療に伴う一時的な反応であり、多くの場合は数日で落ち着きます。痛みが気になるときは、処方された鎮痛剤や市販の鎮痛剤で対処できます。
ただし、治療後に強い痛みが続いたり、歯ぐきが大きく腫れたりした場合は、速やかに担当の歯科医師にご連絡ください。
5. 通院回数と治療期間の目安
根管治療の通院回数は、歯の状態や根管の複雑さによって異なります。あくまで一般的な目安ですが、参考にしてください。
初めて根管治療を行う場合(抜髄)は、前歯で2〜3回、奥歯で3〜5回程度の通院が一般的です。再治療(感染根管治療)の場合は、以前の治療で詰めた材料を除去する工程が加わるため、回数が増えることがあります。
1回あたりの治療時間は1時間程度です。根管の形態が複雑な場合や、感染が広範囲に及んでいる場合は、より多くの回数や時間が必要になることもあります。
根管治療に加えて、かぶせ物の作製・装着まで含めると、全体の治療期間は1〜3か月程度が目安です。
6. 根管治療の成功率と再治療
根管治療の成功率は、初回治療の場合で一般的に90%前後とされています。ただし、再治療の場合や根管の形態が複雑な場合は、成功率がやや低下することがあります。
根管治療の成功率を高めるために重要なポイントとしては、ラバーダムによる確実な隔離、マイクロスコープなど拡大視野での精密な治療、根管内の徹底した洗浄・消毒、適切な根管充填による密封、そして治療後の速やかなかぶせ物の装着が挙げられます。
残念ながら、根管治療を行っても症状が改善しない場合や、再び感染が起こった場合には、再治療や外科的な処置(歯根端切除術など)が検討されることもあります。それでも保存が困難な場合は、抜歯が選択肢に入ることもありますが、まずはできる限り歯を残す方向で治療を進めるのが基本的な考え方です。
7. 根管治療を受ける際に確認したいポイント
根管治療を安心して受けるために、以下のポイントを参考にしてみてください。
1つ目は「ラバーダムを使用しているか」です。先ほどもご説明したとおり、ラバーダムは根管治療の成功率に大きく関わります。治療前に確認しておくと安心です。
2つ目は「マイクロスコープを使用しているか」です。根管は非常に細く複雑な構造をしているため、肉眼だけでは限界があります。マイクロスコープを使用することで、見落としや処置の不備を減らすことができます。
3つ目は「治療の説明が丁寧か」です。現在の歯の状態、治療の方針、予想される回数やリスクなどについて、わかりやすく説明してくれる歯科医院を選ぶことが大切です。
4つ目は「治療後のフォローアップ体制があるか」です。根管治療後は、定期的なレントゲン検査で経過を確認し、問題がないかチェックすることが重要です。治療して終わりではなく、その後の経過観察まで含めたサポート体制があるかを確認しましょう。
8. 根管治療後に気をつけること
根管治療後の歯を長持ちさせるために、日常生活で気をつけていただきたい点をまとめます。
まず、治療後はできるだけ早くかぶせ物を装着することが大切です。仮の詰め物のまま長期間放置すると、根管内に細菌が再び侵入するリスクが高まります。
次に、歯ぎしりや食いしばりの習慣がある方は、ナイトガード(就寝時に装着するマウスピース)の使用を検討してください。根管治療後の歯は、歯髄を失ったことでやや脆くなっているため、過度な力がかかると歯が割れるリスクがあります。
そして、定期的な歯科検診を受けることも重要です。根管治療後の歯は自覚症状なく問題が進行することがあるため、レントゲン検査を含めた定期的なチェックが欠かせません。
お口全体の健康を維持するためには、毎日の丁寧な歯磨きとフロスの使用に加え、定期的なプロフェッショナルクリーニングを受けることをおすすめします。
9.当院の症例

| 初診時年齢 | 40歳 |
|---|---|
| 主訴 | 根尖性歯周炎 |
| 抜歯/非抜歯 | – |
| 治療期間 | 2ヶ月 |
| 費用 | 10万円 |
| 治療のリスク | 術後に軽度の腫脹・疼痛の可能性 |
| 副作用 | – |
| 治療内容/装置 | 精密根管治療、矯正用プロビジョナル |

| 初診時年齢 | 37歳 |
|---|---|
| 主訴 | 根尖性歯周炎 |
| 抜歯/非抜歯 | – |
| 治療期間 | 3ヶ月 |
| 費用 | 10万円 |
| 治療のリスク | 術後に軽度の腫脹・疼痛の可能性 |
| 副作用 | – |
| 治療内容/装置 | 精密根管治療、矯正用プロビジョナル |
9. まとめ
根管治療は、むし歯が深く進行した歯を抜かずに残すための重要な治療です。「怖い」「痛い」というイメージを持たれがちですが、現在では麻酔技術や治療機器の進歩により、以前と比べて格段に快適に治療を受けられるようになっています。
大切な歯を1本でも多く残すためには、痛みや異変を感じたときに放置せず、早めに歯科医院を受診することが何よりも重要です。
歯の痛みや気になる症状がある方は、まずはかかりつけの歯科医院にご相談ください。お口の状態に合わせた最適な治療法を、担当の歯科医師と一緒に考えていきましょう。