学術活動

2026.04.12

20代で歯列矯正を始めるべき理由|タイミング・メリット・よくある不安を解説


「歯並びが気になるけれど、今さら矯正を始めても遅いかな……」

「社会人になってから矯正って、目立たないかな……」

そんなふうに感じている20代の方は、実はとても多くいらっしゃいます。結論からお伝えすると、20代は歯列矯正を始めるのに非常に適した時期です。むしろ「もっと早く始めればよかった」と後悔される方のほうが圧倒的に多いのが現実です。

この記事では、20代で矯正治療を検討されている方に向けて、この時期に矯正を始めるメリットや治療の流れ、費用の目安、そしてよくある不安への回答をわかりやすくまとめました。歯並びでお悩みの方にとって、一歩を踏み出すきっかけになれば幸いです。

1. なぜ20代が矯正治療に適しているのか

歯列矯正は、歯と歯を支える組織(歯槽骨や歯周組織)が健康であれば、基本的に何歳からでも始めることができます。そのなかでも20代が特に適している理由は、大きく3つあります。

まず、歯周組織の状態が良好であることです。20代は一般的に歯ぐきや顎の骨がしっかりしており、矯正力に対する組織の反応も良好です。加齢とともに歯周病のリスクは高まりますので、歯周組織が安定しているうちに治療を開始することは、治療の質を高めるうえでとても重要です。

次に、代謝が活発なため歯の移動がスムーズに進みやすいという点があります。骨のリモデリング(骨の吸収と形成のサイクル)が活発な年代ほど、治療期間の短縮が期待できます。

そして、ライフイベントの前に治療を完了できる可能性が高いということも大きなメリットです。結婚式や就職活動、転職など、人生の大切な場面で自信を持って笑顔を見せられるようになります。治療には通常1年半〜3年程度かかりますので、「いつまでにきれいにしたい」という目標がある方は、早めのスタートをおすすめします。

2. 20代の矯正で知っておきたい「歯周病」との関係

矯正治療を成功させるうえで、歯ぐきの健康状態はきわめて重要です。実は、20代でも軽度の歯周病(歯肉炎)にかかっている方は少なくありません。厚生労働省の調査でも、20代の約3割に歯周病の所見があるとされています。

歯周病がある状態のまま矯正治療を進めてしまうと、歯の移動によって歯周組織のダメージがさらに進行してしまうリスクがあります。つまり、矯正治療と歯周治療は切り離して考えるべきものではなく、両方を総合的に管理する「包括的なアプローチ」が理想的です。

当院(東京日本橋AQUA歯科・矯正歯科 包括CLINIC)は、矯正歯科と歯周治療を組み合わせた包括的(Interdisciplinary)な歯科治療を専門としています。「矯正だけ」「歯周治療だけ」ではなく、お口全体の健康を見据えた治療計画を立案できることが、当院の大きな特徴です。

矯正を始めたいけれど歯ぐきの状態が心配という方も、まずはお気軽にご相談ください。必要に応じて歯周治療を先行させたうえで、安全に矯正治療を進めることが可能です。

3. どんな矯正方法があるの?

矯正治療にはいくつかの方法があり、患者さんのお口の状態やご希望に応じて最適な方法を選択します。ここでは、代表的な矯正方法をご紹介します。

【表側矯正(ラビアル矯正)】は、歯の表面にブラケットとワイヤーを装着する、もっとも一般的な矯正方法です。幅広い症例に対応できることが最大の強みです。近年は透明や白色のブラケットも普及しており、以前に比べて目立ちにくくなっています。

【裏側矯正(リンガル矯正)】は、歯の裏側に装置を装着するため、外から装置がほとんど見えません。「周囲に矯正していることを知られたくない」という方に人気がありますが、表側矯正と比べて費用が高くなる傾向があります。

【マウスピース型矯正】は、透明なマウスピースを段階的に交換しながら歯を動かす方法です。取り外しが可能なため食事や歯磨きがしやすく、装置が目立たないことが特徴です。ただし、症例によっては適応とならない場合もあります。

どの矯正方法が最適かは、患者さん一人ひとりの歯並びの状態や骨格、歯周組織の健康状態によって異なります。当院では精密検査の結果をもとに、丁寧にご説明いたします。

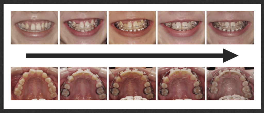
20代女性 矯正治療症例

4. 治療期間と通院頻度の目安

矯正治療の期間は症例によって大きく異なりますが、一般的な目安は以下のとおりです。

部分矯正(前歯のみなど軽度な症例)の場合は、おおよそ半年〜1年程度です。全体矯正(上下すべての歯を動かす場合)では、1年半〜3年程度が一般的です。さらに矯正治療の完了後は、歯の後戻りを防ぐための保定期間が1〜2年ほど必要になります。

通院頻度は、治療の段階によって異なりますが、月に1回程度が一般的です。当院は完全予約制のため、お仕事や学校のスケジュールに合わせて無理なく通院いただけるよう配慮しております。平日は19時30分まで、土曜日も18時まで診療しておりますので、お忙しい方でも通いやすい環境です。

5. 矯正治療にかかる費用について

矯正治療は基本的に保険適用外の自費治療となります。費用の目安は矯正方法や症例の複雑さによって幅がありますが、一般的には以下の範囲が目安とされています。

表側矯正の場合はおおよそ60万円〜100万円程度、裏側矯正は100万円〜150万円程度、マウスピース型矯正は60万円〜120万円程度が全国的な相場です。

なお、当院の具体的な料金につきましては、治療内容によって異なりますので、カウンセリング時に詳しくご説明いたします。

当院では、費用面でのご負担を軽減するために、デンタルローンに対応しております。また、矯正治療費は医療費控除の対象となる場合がありますので、確定申告時に申請することで税負担が軽減される可能性があります。具体的な控除額については、所轄の税務署や税理士にご確認ください。

「費用が心配で一歩を踏み出せない」という方も多いかと思います。まずはカウンセリングで、治療内容と費用の見通しについてご相談いただくことをおすすめします。

6. 20代の方によくある不安と回答

ここでは、カウンセリングの際に20代の患者さんからよくいただくご質問にお答えします。

「仕事中に装置が目立つのが心配です」というご質問をよくいただきます。近年の矯正装置は、目立ちにくい素材や裏側矯正、マウスピース型矯正など選択肢が豊富です。接客業や営業職の方でも安心して治療を受けていただけるよう、ご希望に合わせた装置をご提案いたします。

「矯正中の痛みが不安です」という方も多くいらっしゃいます。装置を装着した直後や調整後の数日間は、歯に圧迫感や軽い痛みを感じることがあります。ただし、多くの方は数日で慣れていきます。痛みが強い場合には鎮痛剤で対処できますので、日常生活に大きな支障が出ることはほとんどありません。

「食事や歯磨きに影響はありますか?」というご質問もよくいただきます。ワイヤー矯正の場合は、硬い食べ物や粘着性のある食べ物に注意が必要です。また、装置の周囲に汚れがたまりやすくなるため、丁寧な歯磨きが大切になります。マウスピース型矯正の場合は、食事の際に取り外せるため比較的制限は少ないです。いずれの場合も、歯磨きの方法はスタッフが丁寧にご指導いたします。

「途中で転勤や引っ越しがあったらどうなりますか?」というご不安をお持ちの方もいらっしゃいます。転居先で継続治療が可能な場合は、治療記録の引き継ぎを行うことができます。事前にご相談いただければ、できる限り柔軟に対応いたします。

7. 当院が大切にしていること

東京日本橋AQUA歯科・矯正歯科 包括CLINICは、矯正歯科と歯周治療の両方を専門的に行う、都内でも数少ないクリニックです。

当院が大切にしているのは、「矯正治療のゴール=見た目の改善」だけではないということです。歯並びを整えると同時に、歯ぐきや歯を支える骨の健康もしっかりと管理することで、治療後も長期的に安定した状態を維持できる――それが、包括的(Interdisciplinary)な治療の本質です。

矯正専門のクリニックでは歯周病の管理が十分にできないケースがあり、逆に歯周治療をメインとするクリニックでは矯正治療の選択肢が限られる場合があります。当院では、矯正と歯周の両面から一貫した治療計画を立て、同じ院内で完結できる体制を整えています。

「歯並びも気になるし、歯ぐきの健康も心配」という方にこそ、当院の包括的なアプローチを知っていただきたいと考えています。

8. まずは無料カウンセリングへ

歯列矯正は、患者さんのお口の状態やご希望によって最適な治療法が異なります。インターネットの情報だけで判断するのは難しいものですので、まずは専門のクリニックでカウンセリングを受けることが大切です。

当院では、矯正治療を検討されている方を対象に、カウンセリングを実施しております。現在の歯並びの状態を確認し、治療方法や期間、費用の見通しなどについて丁寧にご説明いたします。

ご予約はWEBから24時間受け付けております。東京メトロ半蔵門線「三越前駅」直結でアクセスも良好ですので、お仕事帰りやお買い物のついでにもお立ち寄りいただけます。

歯並びのことが少しでも気になっている方は、どうぞお気軽にご相談ください。20代の今だからこそできる選択が、きっとあります。