歯を失ったときの治療法として、多くの方が悩まれるのが「入れ歯」と「インプラント」の違いです。どちらも失った歯を補う治療法ですが、仕組みや使い心地、費用、メンテナンス方法などに大きな違いがあります。
本記事では、入れ歯とインプラントの特徴をわかりやすく比較し、それぞれのメリット・デメリットを丁寧に解説します。
1.入れ歯とは?
入れ歯(義歯)は、歯ぐきの上に装着して失った歯を補う取り外し式の装置です。部分入れ歯と総入れ歯の2種類があります。
■ 入れ歯の特徴
- 取り外しができる
- 比較的短期間で作製できる
- 外科手術が不要
- 保険適用が可能な場合が多い
■ 入れ歯のメリット
・手術が不要で体への負担が少ない
・比較的費用を抑えられる
・幅広い年齢層に対応可能
■ 入れ歯のデメリット
・装着時の違和感が出やすい
・噛む力が天然歯より弱い
・ズレや外れが生じることがある
・見た目が気になる場合がある
入れ歯は「まずは早く歯を補いたい」「外科処置は避けたい」という方に選ばれることが多い治療法です。
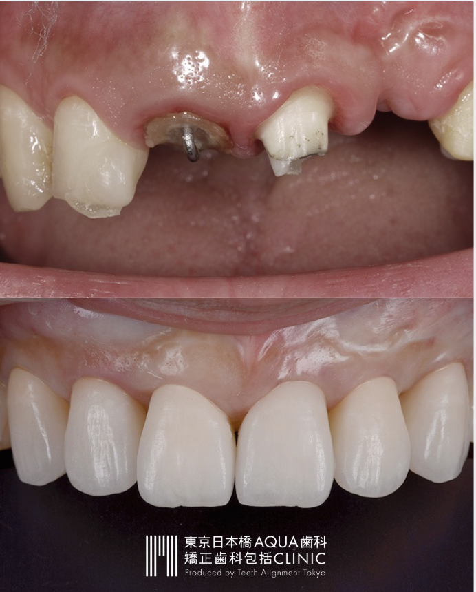
2.インプラントとは?
インプラントは、顎の骨に人工歯根を埋め込み、その上に人工歯を装着する治療法です。天然歯に近い構造を再現できるのが大きな特徴です。
■ インプラントの特徴
- 顎の骨に固定する
- 取り外しの必要がない
- 天然歯に近い噛み心地
- 自費診療が基本
■ インプラントのメリット
・しっかり固定され、よく噛める
・見た目が自然
・周囲の歯に負担をかけにくい
・顎の骨が痩せにくい
■ インプラントのデメリット
・外科手術が必要
・治療期間が比較的長い
・費用が高額になりやすい
・全身状態によっては適応外の場合がある
インプラントは「しっかり噛みたい」「見た目を自然にしたい」という方に適した治療法といえます。
3.噛む力の違い
入れ歯は歯ぐきの上に乗せる構造のため、噛む力は天然歯の約2~3割程度といわれています。一方、インプラントは骨と結合するため、天然歯に近い力で噛むことが可能です。
そのため、
・硬いものをしっかり噛みたい
・食事を楽しみたい
という方にはインプラントが向いている場合があります。
4.見た目の違い
入れ歯は金属のバネ(クラスプ)が見えることがあります。最近では目立ちにくいタイプもありますが、審美性を重視する方には気になる場合もあります。
インプラントは独立して固定されるため、見た目はほぼ天然歯と変わりません。前歯など人目につきやすい部位では、審美面の差が大きく感じられることがあります。
5.周囲の歯への影響
部分入れ歯は、残っている歯にバネをかけて支えるため、支えとなる歯に負担がかかります。
インプラントは単独で自立するため、隣の歯を削ったり、負担をかけたりする必要がありません。長期的な口腔環境を考えた場合、この違いは重要なポイントです。
6.治療期間の違い
入れ歯は型取りから装着まで比較的短期間で完了します。
インプラントは、
1.検査
2.手術
3.骨との結合期間(数か月)
4.人工歯の装着
という流れがあるため、治療期間は数か月に及ぶことが一般的です。
7.費用の違い
入れ歯は保険診療が可能な場合が多く、費用を抑えやすい治療法です。
インプラントは基本的に自費診療で、1本あたり数十万円程度が目安となります。ただし、耐久性や快適性を考慮すると、長期的な視点で検討される方も多い治療法です。
8.メンテナンスの違い
入れ歯は毎日の取り外し清掃が必要です。合わなくなった場合は調整や作り直しが必要になることもあります。
インプラントは取り外しの必要はありませんが、定期的な歯科医院でのメンテナンスが重要です。特に「インプラント周囲炎」を予防するためには、日々のセルフケアと定期検診が欠かせません。
9.どちらが良いのか?
入れ歯とインプラントは、どちらが優れているという単純な比較ではありません。
・全身状態
・顎の骨の量
・ご予算
・ライフスタイル
・治療にかけられる期間
これらを総合的に判断して選択することが大切です。

まとめ
入れ歯は「手軽さ・費用面」でメリットがあり、インプラントは「噛む力・見た目・快適性」で優れています。
大切なのは、ご自身の希望やお口の状態に合った治療法を選ぶことです。まずは歯科医院で相談し、十分な説明を受けた上で検討されることをおすすめします。
失った歯を補う治療は、これからの生活の質を大きく左右します。正しい知識をもとに、納得のいく選択をしていただければ幸いです。