はじめに ― 「もう大人だから」とあきらめていませんか?
「矯正治療は子どものうちにやるもの」「大人になってからでは遅いのでは?」「この歳で矯正なんて恥ずかしい」――矯正治療に関心はあるものの、年齢を理由にあきらめてしまう方は少なくありません。
結論から申し上げますと、大人になってからでも矯正治療は十分に可能です。実際に、当院を受診される患者さまの多くは成人の方です。30代、40代、50代、さらにはそれ以上の年齢の方も、矯正治療によって美しい歯並びと機能的な噛み合わせを手に入れていらっしゃいます。
むしろ、大人の矯正治療には大人ならではのメリットもあります。ご自身の意思で治療を決断されているため、モチベーションが高く、装置の使用や通院のスケジュールをしっかり守ってくださる方が多い傾向があります。
今回は、大人の矯正治療について、子どもの矯正との違いや注意点、当院ならではのアプローチ、そしてよくいただくご質問への回答まで、詳しくお伝えいたします。
大人の矯正治療は珍しいこと?
ひと昔前は、矯正治療といえば子どもや10代の若者が受けるものというイメージがありました。しかし、近年では成人の矯正治療を希望される方が大幅に増えています。
その背景には、目立ちにくい矯正装置の進歩があります。透明なマウスピース型矯正や、歯の裏側に装置をつける舌側矯正など、周囲に気づかれにくい治療法が充実したことで、仕事や日常生活への影響を心配される方でも治療を受けやすくなりました。当院でも、接客業や営業職の方、人前に立つお仕事をされている方が多く来院されています。
また、健康への意識の高まりも大きな要因です。歯並びの乱れは見た目だけの問題ではなく、噛み合わせの不調和、歯磨きのしにくさによる虫歯や歯周病のリスク増加、顎関節への負担など、さまざまな健康上の問題につながる可能性があります。平均寿命が延び「人生100年時代」と言われる今、長い人生をより健康に過ごすために、大人になってから矯正治療を決断される方が増えているのです。
さらに、歯周病の治療をきっかけに矯正治療の必要性に気づくケースもあります。歯周病の治療を受ける中で、「歯並びの乱れが歯周病の原因のひとつになっている」と指摘され、矯正治療を勧められる方もいらっしゃいます。このように、健康上の理由から矯正治療を始める大人の方は決して珍しくありません。
子どもの矯正と大人の矯正、何が違う?
子どもの矯正治療と大人の矯正治療には、いくつかの重要な違いがあります。これらの違いを理解しておくことは、大人の矯正治療を安全に進める上で非常に大切です。
まず、顎の成長の有無です。子どもの矯正治療では、顎の成長を利用して骨格的な問題を改善することができますが、成長が完了した大人の場合は、基本的に歯の移動によって歯並びと噛み合わせを整えていきます。骨格的な問題が大きい場合には、外科的な処置が必要になるケースもありますが、多くの場合は矯正治療のみで十分な改善が可能です。
次に、歯周組織の状態です。これが大人の矯正治療において最も注意すべきポイントといえます。成人の場合、程度の差はあれ歯周病にかかっている方が多くいらっしゃいます。日本では成人の約80%が歯周病に罹患しているという報告もあるほどです。歯周病がある状態で矯正力をかけると、骨の吸収が進んでしまうリスクがあるため、矯正治療の前に歯周病の管理をしっかりと行うことが不可欠です。
さらに、歯の欠損や不良な修復物の存在も大人特有の課題です。過去に虫歯治療で入れた詰め物やかぶせ物が劣化していたり、すでに歯を失っている部分があったりする場合、これらを考慮した上で治療計画を立てる必要があります。欠損している歯の数や位置によっては、矯正治療と合わせてインプラントやブリッジなどの補綴治療を組み合わせることもあります。
また、大人の場合は歯の移動速度が子どもに比べてやや遅い傾向があります。骨の代謝が成長期ほど活発ではないためですが、これは逆に言えば、適切な力加減で丁寧に歯を動かすことで、歯根や歯周組織への負担を最小限に抑えた安全な治療が可能であるということでもあります。
こうした複合的な問題を抱える大人の矯正治療だからこそ、歯並びだけを見るのではなく、お口全体を包括的に診る視点が求められるのです。
大人の矯正治療で気をつけるべきこと
大人の矯正治療を安全かつ効果的に行うためには、いくつかの注意点があります。
第一に、歯周病の管理です。先ほども述べたように、歯周病がある状態での矯正治療はリスクを伴います。矯正治療を始める前に歯周病の検査と治療を行い、歯ぐきと骨の状態を安定させることが大前提となります。当院では、矯正治療の前はもちろん、治療中も定期的に歯周組織のモニタリングを行い、問題があれば速やかに対応しています。歯科衛生士によるプロフェッショナルケアとブラッシング指導を通じて、治療中の口腔衛生を維持するプログラム「O-SPT」も実施しています。
第二に、無理のない治療計画です。大人の歯周組織は子どもに比べて代謝が遅く、歯の移動にも慎重なコントロールが必要です。効率を重視するあまり強い力で歯を動かすと、歯根吸収(歯の根が短くなること)や歯肉退縮(歯ぐきが下がること)のリスクが高まります。適切な力加減で、時間をかけて丁寧に治療を進めることが大切です。「治療期間が短い」ことが必ずしも良い治療とは限りません。
第三に、治療後の安定性の確保です。大人の場合、歯を支える骨の量が少なくなっていることもあり、治療後の後戻りが起こりやすいケースがあります。保定装置(リテーナー)の適切な使用と、定期的なメインテナンスが、治療結果を長く維持するための鍵となります。当院では、後戻りの根本的な原因に対してMFT(口腔筋機能療法)なども含めた対策を行い、長期的に安定した結果を目指しています。
当院の大人の矯正治療 ― 包括的矯正治療™というアプローチ
当院では、大人の矯正治療にこそ「包括的矯正治療™(インターディシプリナリーオーソドンティックトリートメント™)」のアプローチが必要だと考えています。
歯並びを治すだけでなく、歯周病の管理、虫歯の治療、歯の欠損への対応、不良な修復物の改善など、お口の中のすべての問題を治療計画に組み込み、最適な順序で治療を進めていきます。矯正治療と歯周再生、インプラント、審美セラミック修復などを組み合わせることで、見た目の美しさと機能的な健康を高い水準で両立させることを目指しています。
たとえば、歯周病で歯を支える骨が減少している方の場合、まず歯周治療で炎症をコントロールし、必要に応じて歯周再生療法を行います。歯周組織が安定してから矯正治療に入り、歯の位置を整えることで清掃性を改善し、歯周病の再発リスクを低下させます。さらに矯正治療後に、欠損部分をインプラントやセラミック修復で補うことで、機能と審美の両面から理想的な状態を作り上げていきます。
このような包括的な治療を行えるのは、矯正歯科を専門とする複数の歯科医師がチームを組み、歯周治療やインプラント治療にも精通したスタッフが在籍しているからです。院長は日本矯正歯科学会の臨床指導医・認定医であると同時に、日本歯周病学会の認定医、日本口腔インプラント学会の専修医でもあり、複数の専門分野にまたがる知識と経験を持って治療計画を立案しています。
また、マイクロスコープを7台備えた精密な治療環境も、質の高い包括的治療を支えています。歯科衛生士専用のマイクロスコープも設置しており、肉眼では確認しにくい細部まで精密なケアを行うことが可能です。
大人の矯正治療では、治療のゴールを「見た目がきれいになること」だけに設定するのではなく、「20年後、30年後もご自身の歯で健康に過ごせる状態を作ること」に置いています。この長期的な視点こそが、当院の矯正治療の根幹にある考え方です。
大人の矯正治療で選べる装置の種類
大人の矯正治療では、ライフスタイルやご要望に合わせて、さまざまな種類の装置をお選びいただけます。
「表側矯正」は、最も幅広い症例に対応できる方法です。近年ではセラミックブラケットやホワイトワイヤーなど、目立ちにくい素材も充実しており、従来の金属装置のイメージとは大きく異なります。
「舌側矯正(裏側矯正)」は、歯の裏側に装置を付けるため、外からはほとんど見えません。上下とも裏側にする「フルリンガル」と、上の歯だけ裏側にする「ハーフリンガル」があります。仕事上どうしても装置を見せたくない方に特に人気があります。
「マウスピース型矯正」は、透明なマウスピースを使用するため目立ちにくく、食事や歯磨きの際には取り外すことができます。ただし、すべての症例に適応できるわけではないため、精密検査の結果をもとに適応を判断します。
どの装置が最適かは、歯並びの状態、歯周組織の状態、治療の目標、患者さまのライフスタイルなどを総合的に考慮して判断します。「見た目」だけで選ぶのではなく、ご自身の症例に最も適した装置を選ぶことが、良い治療結果への近道です。当院では、それぞれの装置のメリット・デメリットを正直にお伝えした上で、一緒にお選びいただいています。
大人の矯正治療でよくあるご質問
大人の矯正治療を検討されている方からよくいただくご質問にお答えします。
「何歳まで矯正治療は受けられますか?」――年齢に上限はありません。歯と歯周組織が健康であれば、何歳からでも矯正治療を始めることが可能です。実際に60代以上で治療を受けられている方もいらっしゃいます。年齢よりも、歯周組織の状態や全身の健康状態が治療の可否を左右する重要な要素です。
「治療中、仕事に支障はありませんか?」――舌側矯正やマウスピース型矯正など、目立ちにくい装置を選択することで、お仕事への影響を最小限に抑えることが可能です。装置を装着した直後は多少の違和感や発音への影響がある場合もありますが、多くの方は1〜2週間で慣れていきます。営業職や接客業の方も多く治療を受けていらっしゃいます。
「治療期間はどれくらいですか?」――症例によって異なりますが、動的治療(歯を動かす期間)は一般的に2年から3年程度です。包括的矯正治療の場合、前処置の期間も加わるため、トータルではもう少し長くなることもありますが、その分、長期的に安定した結果を得ることができます。
「矯正治療は痛いですか?」――装置を装着した直後や調整後の数日間は、歯に圧力がかかるため痛みや違和感を感じることがあります。ただし、我慢できないほどの痛みではなく、数日で慣れる方がほとんどです。必要に応じて痛み止めをお使いいただくこともできます。
「歯を抜く必要がありますか?」――すべてのケースで抜歯が必要なわけではありません。ただし、歯を並べるスペースが不足している場合には、抜歯を行うことで歯並びと噛み合わせをより良い状態に整えることができるケースもあります。抜歯の必要性は精密検査の結果をもとに慎重に判断し、患者さまに詳しくご説明いたします。

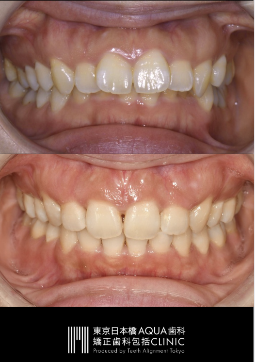
30代女性
おわりに ― 人生100年時代、歯並びを整えるのに遅すぎることはありません
平均寿命が延び、「人生100年時代」と言われるようになりました。残りの人生をより健康に、より美しく過ごすために、大人になってから矯正治療を始めることは、非常に前向きな選択です。
大切なのは、ご自身のお口の状態を正しく理解し、信頼できる歯科医院で適切な治療を受けることです。当院では、大人の矯正治療に特有の課題にも対応できる包括的な体制を整えておりますので、安心してご相談ください。
「ずっと気になっていた」「いつか治したいと思っていた」という方は、ぜひこの機会に一歩を踏み出してみませんか。まずは矯正相談から、お気軽にどうぞ。当院は完全予約制となっておりますので、WEB予約またはお電話にてお問い合わせくださいませ。